Main Service

   MIBONE  BODY CARE

            - 일자목, 거북목을 개선 할 수 있다. 


            - O다리,X다리 모양의 개선이 가능하다.


            - 직립 보행시 다리 라인의 모양을 예쁘게 만들 수 있다. 


            - 골반 및 둔부의 비대칭 개선이 가능하다. 


            - 어깨의 통증을 완화 할 수 있다. 


            - 굽은 등/어깨 개선이 가능하다.

   MIBONE 관리의 특징

                         

             - 통증 관리와 미용적인 목적의 관리를 같이 진행 한다. 


             - 얼굴의 비대칭과 연계하여 관리가 진행 되다 보니 효과가 빠르다. 


             - 건강한 자세를 유지하며, 부상을 방지 할 수 있다. 


             - 오랜 시간 누적 된 피로를 개선할 수 있다. 

 

             - 체형 관리를 통해 통증 부위의 불 필요한 수술을 피할 수 있다.              


Main Service

 MIBON  BODY CARE

- 일자목, 거북목을 개선 할 수 있다. 

- O다리,X다리 모양의 개선이 

    가능하다.

- 직립 보행시 다리 라인의 모양을 예쁘게 만들 수 있다. 

- 골반 및 둔부의 비대칭 개선이 가능하다. 

- 어깨의 통증을 완화 할 수 있다. 

- 굽은 등/어깨 개선이 가능하다.

 MIBON  관리의 특징

- 통증 관리와 미용적인 목적의 관리를 같이 진행 한다. 

 - 얼굴의 비대칭과 연계하여 관리가 진행 되다 보니 효과가 빠르다. 

 - 건강한 자세를 유지하며, 부상을 방지 할 수 있다. 

 - 오랜 시간 누적 된 피로를 개선할 수 있다. 

 - 체형 관리를 통해 통증 부위의 불 필요한 수술을 피할 수 있다.    

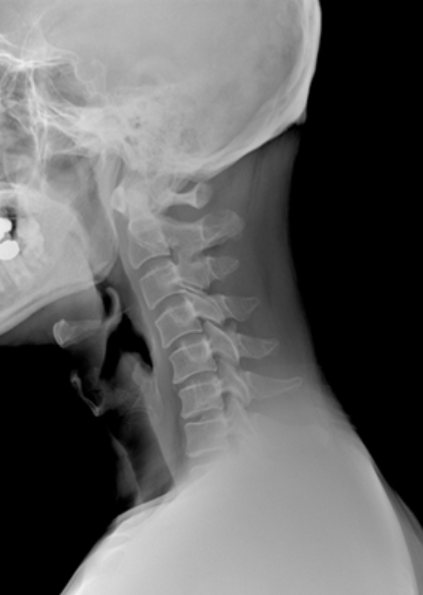
일자목 개선

C 모양으로 살짝 튀어나와 곡선을 유지해야 하는 경추뼈가
C 모양에서 일자 형태로 바뀌는 질환입니다.


일자목은 정상적인 곡선이 없이 뻣뻣하기 때문에 목에 더해지는 충격을 그대로 받게 됩니다.
그러므로 정상적인 사람보다 목 디스크 발생 위험이 높기에 초기에 개선해야 합니다.

증상

- 승모근의 통증이 발생되는 경우

- 뒷목 전체에 두통이 발생 되고 눈이 피곤한 경우

- 목을 회전할 때 잡음이 발생 되는 경우

- 어깨부터 손과 팔까지 통증이 발생 되는 경우

거북목 개선

경추는 정상적으로는 앞쪽이 볼록한 C자 모양을 하고 있으나,
거북목의 경우 아래쪽 목뼈는 과하게 구부러지는 방향으로 배열되고 위쪽 목뼈와 머리뼈는 머리를 젖히는 방향으로 배열되어 전체적으로
목뼈 전 만이 소실되고 머리가 숙여지지 않은 상태에서 고개가 앞으로 빠진 자세를 말합니다.

증상

- 두통이 심해지는 경우

- 목 주위와 승모근이 뻣뻣해질 경우

- 심할 경우 뒷목의 통증과 눈의 피로감을 느끼는 경우

- 목이 회전할 때 소리가 나거나 통증이 생기는 경우

- 어깨의 통증과 손, 발 저림 현상이 나타나는 경우

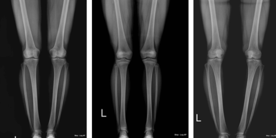
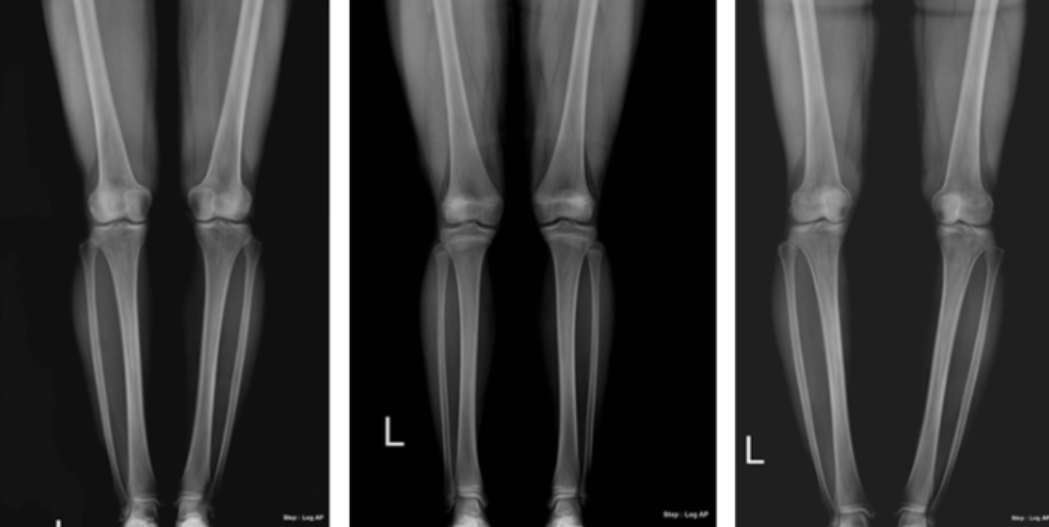
0다리 ㅣ X다리 개선

오다리 증상

- 무릎 사이에 주먹이 들어가는 경우

- 신발이 안쪽 또는 바깥쪽 부위만 과도하게 닳는 경우

- 치마를 입었을 때 돌아가는 경우 

- 좌우 엉덩이 높이가 서로 다른 경우

- 한쪽 어깨가 올라가 있는 경우 

- 다리를 꼬고 앉는 것이 더 편한 경우


엑스다리 증상

- 바르게 서 있을때 무릎이 붙어 있고 종아리가 벌어져 있는 경우

- 무릎이 자꾸 부딪혀 넘어지는 경우

- 무릎이 불편한 경우

골반 비대칭 개선

다리 꼬는 동작이나 한 쪽 다리에 체중을 많이 실을 경우 골반 비대칭의 현상이 많이 나타 날 수 있습니다. 


골반 비대칭의 경우 단순 관리가 아닌 무릎이나, 발목도 같이 고려 해서 관리가 진행 되어야 합니다.  

증상

- 양반다리 상태로 앉아 있기 힘든 경우 

- 누운 자세에서 양쪽 팔 다리의 길이가 다른경우

- 허리 통증이  한쪽 방향에 생기는 경우

- 신발 밑창이 한쪽만 더 닳는 경우

- 양쪽 허리나 어깨의 높이가 다른경우

50견 개선

어깨의 관절 움직임에 제한이 있어 팔을 뒤 또는 앞, 옆으로 들어 올리기 힘든 경우 오심견이 예상 됩니다.  

증상

- 어깨가 뻣뻣하고 통증이 발생 하는 경우

- 팔을 올리거나 뒤로 젖히는 동작이 힘든 경우

- 손을 위로 들어 올리는 동작이 어려운경우

- 통증이 어깨뒷 부분부터 손끝까지 발생 되는 경우

회전근개 사용 개선

어깨 관절 주위를 덮고 있는 근육의 회전 운동 및 안정성을 개선 시켜 드립니다.   

증상

- 팔을 들어 올리거나 내릴 때, 돌릴 때 통증이 나타나는 경우

- 무거운 짐을 들어 올 릴 때 통증이 수반되는 경우

-  어깨에서 잡음이 발생 하는 경우

FACE CARE 의 효과 극대화 

 BODY CARE는 FACE CARE와 밀접한 연관성이 있어, 얼굴의 변화를 오랫 동안 유지 할 수 있게 도와 줍니다.   

일자목 개선

C 모양으로 살짝 튀어나와 곡선을 유지해야 하는 경추뼈가
C 모양에서 일자 형태로 바뀌는 질환입니다.


일자목은 정상적인 곡선이 없이 뻣뻣하기 때문에 목에 더해지는 충격을 그대로 받게 됩니다.
그러므로 정상적인 사람보다 목 디스크 발생 위험이 높기에 초기에 개선해야 합니다.


증상

- 승모근의 통증이 발생되는 경우

- 뒷목 전체에 두통이 발생 되고 눈이 피곤한 경우

- 목을 회전할 때 잡음이 발생 되는 경우

- 어깨부터 손과 팔까지 통증이 발생 되는 경우

거북목 개선

 경추는 정상적으로는 앞쪽이 볼록한 C자 모양을 하고 있으나,
거북목의 경우 아래쪽 목뼈는 과하게 구부러지는 방향으로 배열되고 위쪽 목뼈와 머리뼈는 머리를 젖히는 방향으로 배열되어 전체적으로
목뼈 전 만이 소실되고 머리가 숙여지지 않은 상태에서 고개가 앞으로 빠진 자세를 말합니다. 


증상

- 두통이 심해지는 경우

- 목 주위와 승모근이 뻣뻣해질 경우

- 심할 경우 뒷목의 통증과 눈의 피로감을 느끼는 경우

- 목이 회전할 때 소리가 나거나 통증이 생기는 경우

- 어깨의 통증과 손, 발 저림 현상이 나타나는 경우


0다리 ㅣ X다리 개선

오다리 증상

- 무릎 사이에 주먹이 들어가는 경우

- 신발이 안쪽 또는 바깥쪽 부위만 과도하게 닳는 경우

- 치마를 입었을 때 돌아가는 경우 

- 좌우 엉덩이 높이가 서로 다른 경우

- 한쪽 어깨가 올라가 있는 경우 

- 다리를 꼬고 앉는 것이 더 편한 경우


엑스다리 증상

- 바르게 서 있을때 무릎이 붙어 있고 종아리가 벌어져 있는 경우

- 무릎이 자꾸 부딪혀 넘어지는 경우

- 무릎이 불편한 경우


골반 비대칭 개선

다리 꼬는 동작이나 한 쪽 다리에 체중을 많이 실을 경우 골반 비대칭의 현상이 많이 나타 날 수 있습니다. 


골반 비대칭의 경우 단순 관리가 아닌 무릎이나, 발목도 같이 고려 해서 관리가 진행 되어야 합니다.  


증상

- 양반다리 상태로 앉아 있기 힘든 경우 

- 누운 자세에서 양쪽 팔 다리의 길이가 다른경우

- 허리 통증이  한쪽 방향에 생기는 경우

- 신발 밑창이 한쪽만 더 닳는 경우

- 양쪽 허리나 어깨의 높이가 다른경우


50견 개선

어깨의 관절 움직임에 제한이 있어 팔을 뒤 또는 앞, 옆으로 들어 올리기 힘든 경우 오심견이 예상 됩니다. 


증상

- 어깨가 뻣뻣하고 통증이 발생 하는 경우

- 팔을 올리거나 뒤로 젖히는 동작이 힘든 경우

- 손을 위로 들어 올리는 동작이 어려운경우

- 통증이 어깨뒷 부분부터 손끝까지 발생 되는 경우

회전근개 사용 개선

어깨 관절 주위를 덮고 있는 근육의 회전 운동 및 안정성을 개선 시켜 드립니다. 



증상

- 팔을 들어 올리거나 내릴 때, 돌릴 때 통증이 나타나는 경우

- 무거운 짐을 들어 올 릴 때 통증이 수반되는 경우

-  어깨에서 잡음이 발생 하는 경우


 FACE CARE 의 효과 극대화

BODY CARE는 FACE CARE와 밀접한 연관성이 있으며, 얼굴의 변화를 오랫 동안 지속할 수 있게 도와 줍니다. 




카카오톡 채널 채팅하기 버튼